Sentía molestias, le hicieron una placa y le encontraron una tijera de una operación que se había hecho hace 5 años

Ocurrió en la provincia de Santa Cruz. El hombre hace ya más de 5 años que había sido operado tras un accidente.

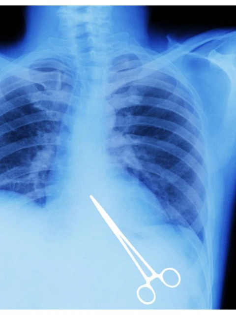
El insólito hecho le ocurrió a un hombre, oriundo de Los Antiguos en la provincia de Santa Cruz, quién hace cinco años había sido operado tras sufrir un violento accidente de tránsito. Sufrió graves lesiones, entre ellas varias costillas fracturadas y lesiones en el bazo, por lo que requirió cirugía para poder extirpárselo.

Hasta hace unas semana su vida era normal, hasta que comenzó a sentir molestias y fuertes dolores que le comenzaron a incomodar en la parte donde había sido operado hace ya cinco años. Al realizarse estudios, más precisamente una placa radiográfica, la sorpresa fue grande para quienes hacían los estudios al comprobar que en el interior del hombre había una tijera quirúrgica que habría quedado allí durante su operación.

A raíz de está situación, el hombre debió ser intervenido en las últimas horas de urgencia en el hospital zona de Caleta Olivia donde la familia aguarda explicaciones de los profesionales sobre el terrible descuido.

Esta nota habla de: